マルチブラケット
「歯科矯正」と言えば、誰もが思い浮かべるのが、「マルチブラケット」でしょう。
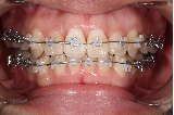
マルチブラケットは、歯一本一本にブラケット(金属製または合成樹脂性)を接着し、細い針金を通して、歯を移動させる装置です。
永久歯の噛み合わせを修正するには、多くの歯を同時に移動させることによって、
歯列弓の形を上下、水平に整える必要があります。
マルチブラケット法は、多数歯の3次元的移動を同時に行うことができますので、
大きな治療効果を得ることができます。
使 用 期 間
マルチブラケット治療は、第一大臼歯より前方の歯がすべて生えそろい、
それらの歯根形成が終了した時点から開始します。
骨格的要因の強い症例では、この時点ではまだアゴの骨の成長抑制などを継続しながらマルチブラケットを開始するか、成長期を過ぎた時点まで待って開始します。
注 意 事 項
●清 掃
歯にワイヤーが沿っている部分は、清掃がしにくいため、歯垢や歯石が付着しやすくなります。
タフトブラシなどの小さいブラシを使用して丁寧に時間をかけて清掃しましょう。
●食 事
マルチブラケットに装着するワイヤーは、細くて弾力性のある柔らかいものを使い、あまり痛くならないように、ごく弱い力を与えます。
しかし、装着した日から数日間、最初は歯が浮いた感じがして、数時間には、かみしめた時等にやや痛みを感じます。これは、歯の移動が開始する時の痛みなので異常なものではありません。
数日間は特に食事の時に痛いので、普通の食事ができにくくなります。この間はお粥や麺類、豆腐やプリンなど柔らかくあまりかまなくても良い食物を選んで、少しの間我慢してください。
この痛みは、歯が動き始めた証であり、それを消すことはできません。しかし、ある日、突然痛みが消えて行くのがわかると思います。1週間以上痛みが続くことはありませんので、ご安心ください。
●マルチブラケット
装着時



3ヶ月後




HOME
地図・診療時間
スタッフのご紹介
院内のご案内
メール