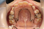
症例1 (8歳・女性)


8歳5ヶ月


8歳11ヶ月
ハイラックス(急速拡大装置)&リンガルアーチを装着しました。


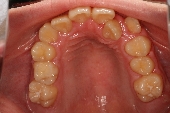
9歳6ヶ月
保定装置としてツインへリックスを使った治療途中
下の永久歯のガタガタが治り、上下のアーチが広がりました。
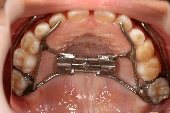
症例2 (13歳・女性)


13歳2ヶ月


13歳4ヶ月
ハイラックスを装着しました。


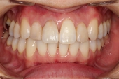
14歳3ヶ月
内側に引っ込んでいた左上2番の歯が前に出て来ました。上下ともにきれいなアーチになりました。


15歳3ヶ月
もともと下顎前歯が一本足りなかったのですが、綺麗にまとまりました。
症例3 (26歳・女性)外科併用症例


26歳3ヶ月


26歳5ヶ月
ピエゾを用いた外科処置を併用し、ハイラックスを装着しました。


27歳8ヶ月
東京に引っ越してからも、3か月ごとに通院されました。治療前と比べると顎の幅が広がる手術の結果がよくわかります。
症例4 (7歳・男性)


7歳6ヶ月
下の永久歯が、内側から生えて来ていました。


8歳4ヶ月
ハイラックス&リンガルアーチを装着しました。


8歳10ヶ月
上の歯には、ファンタイプのハイラックスを使うことによって、バランスよく成長して前歯がきれいに並びました。
下の前歯も順調に良くなっています。
症例5 (29歳・女性)


29歳9ヶ月
下の歯の並び方がガタガタになっています。


29歳11ヶ月
ツインヘリックス&リンガルアーチを装着しました。


30歳5ヶ月


31歳8ヶ月
マルチブラケットを装着しました。


31歳11ヶ月
上下のアーチが広がり、下の歯がきれいに並びました。
症例6 (9歳・女性)


9歳1ヶ月
ハイラックス&リンガルアーチを装着しました。


9歳3ヶ月


9歳11ヶ月
保定装置としてツインヘリックスを使っての治療途中です。
症例7 (16歳・女性)


16歳3ヶ月


16歳6ヶ月
ハイラックス&リンガルアーチを2ヶ月間装着し、マルチブラケットを1ヶ月着けたところ、バランス良く成長し、上の前歯がきれいに並びました。下の前歯も良くなっています。
症例8 (19歳・女性)
19歳9ヶ月
20歳10ヶ月
マルチブラケットを着けた9ヶ月後です。
前歯が当たらない開口でしたが、当たるようになって来ました。
症例9 (16歳・男性)

16歳6ヶ月

16歳10ヶ月
ハイラックス装着した3ヶ月後に
リンガルアーチを装着した2ヶ月後の様子です。

17歳6ヶ月
マルチブラケットを装着した7ヶ月後です。
ハイラックスとリンガルアーチで歯列をふっくらと広げてアーチを作り、
マルチブラケットを使用して歯を並べました。
症例10 (8歳・男性)


8歳10カ月


9歳0カ月
ハイラックスを2ヶ月間装着した後、リンガルアーチを装着したところです。


10歳1ヶ月
ハイラックス&リンガルアーチを外しました。
上アゴが小さかったので、ハイラックスを使って広げました。
今後は上下左右7番が生えるまで、様子を見ていきます。

HOME
地図・診療時間
スタッフのご紹介
院内のご案内
メール